Just One Dental Visit with CEREC
No more waiting for weeks to complete your procedure, or making multiple visits to the dental office.
With CEREC, your dental procedure will take only one visit!
One-Visit-Procedures
Crowns, veneers, inlays, and onlays can all be designed using CEREC.
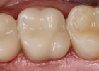
View the Before & After of a CEREC ProcedureBenefits of CEREC
With CEREC, Dr. Wolnik can complete your dental restorations in about an hour.
That is much faster than in the past, where crowns or veneers required multiple visits to complete.
The latest CEREC technology allows Dr. Wolnik to create digital models that are amazingly accurate.
CEREC mills your crown as accurately as possible.
Ceramic is a high-strength, biocompatible material that replaces mercury-based silver fillings.
Now there is no potential for harm from toxic materials.
What is CEREC?
CEREC is an acronym for Chairside Economical Restorations of Esthetic Ceramic. It is also called Ceramic Reconstruction.
CEREC is one of the most researched dental technologies ever.
CEREC was created in 1980, at the University of Zurich, and has been used to treat patients since 1985.
With CEREC, Dr. Wolnik creates ceramic restorations for his patients using computer-aided technologies.
Dr. Wolnik creates a digital image of your tooth
From this image, a design for your restoration is created
The image is refined using CAD software
The image is sent to the milling unit wirelessly
Restoration is cut with precision
Restoration is bonded to tooth
