The Stages of Gum Disease
Stage 1
This picture shows a tooth in perfect health.
Stage 2
This picture shows the collection of plaque around the tooth. When plaque is not removed by proper brushing and flossing, inflammation of the gum tissue develops causing the formation of a pocket.
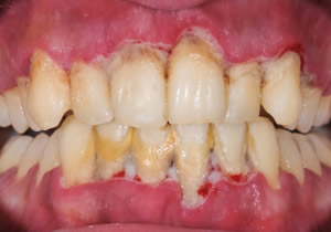
Stage 3
This picture shows the progression of gum disease. When left untreated, the inflammation causes the pocket to get deeper allowing the more plaque to collect and calcify (solidify).
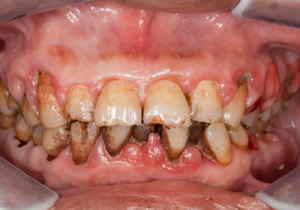
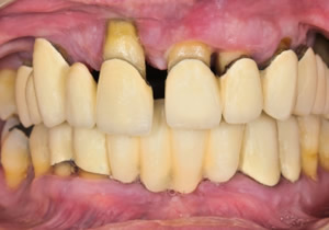
Stage 4
This picture shows that untreated calcified plaque causes the destruction of both the bone and the gum tissue that surrounds the tooth.
The Progression of Gum Disease
Periodontal Disease
Pain in your jaw or face could be associated with periodontal disease. Periodontal disease affects the gums and jaw bone.
The Bad News:
Once periodontal disease reaches this stage, it is both costly and difficult to treat.
The Good News:
Periodontal disease is entirely preventable through proper brushing and flossing at home and semiannual dental cleanings with Dr. Wolnik!
